Peru Crowns and Bridges
Porcelain Crowns
Applied Procedures: Porcelain Crowns
P15509_ss7132bs_t P15509_ss7132ys_t
Before Photo After Photo
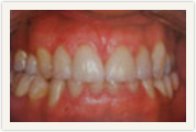
Applied Procedures: Porcelain Crowns
P15509_ss7133bs_t P15509_ss7133ys_t
Before Photo After Photo
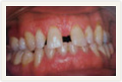
Applied Procedures: Porcelain Crowns, Dental Bridges
P15509_ss7134bs_t P15509_ss7134ys_t
Before Photo After Photo